肺のコンピューター断層撮影装置(CT)画像を人工知能(AI)で解析し、新型コロナウイルスによる肺炎の診断に役立てる技術の実用化が進んでいる。医師の負担軽減が期待され、医療体制維持策の一つとして有望視されるが、日本で先行するのは、中国国内外で信用情報や都市管理などのデータビジネスを手掛ける中国IT大手アリババグループのシステムだ。背景を探った。【後藤豪】
「アリババが元々持っている技術を使って、たった2日間で新型コロナに応用できた」。アリババグループの最先端技術研究を担う「アリババ達摩院」の遅穎・AI医療チームリーダーは胸を張った。
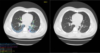
同社は2017年からCT画像をAIに分析させる技術研究を進めてきた。新型コロナ肺炎は、肺に「すりガラスのような影」が観察される特徴があり、その患者がコロナ肺炎なのか、それ以外の肺炎なのかを識別する技術に応用した。最終的に診断を下すのは医師だが、AI画像診断システムがCT画像の疑わしい部分に印をつけるなど、医師の負担軽減を期待できる。
同社が2月以降、コロナ肺炎を含む中国の患者のCT画像約8700人分をAIシステムに分析させたところ、患者1人につき最短…
この記事は有料記事です。
残り2770文字(全文3267文字)
毎時01分更新

長崎市で9日に開かれた長崎原爆犠牲者慰霊平和祈念式典に出席…

天皇、皇后両陛下の国民と交流される機会が激減している。新型…

アフリカ中部ルワンダで初となる子ども向けラジオ番組を立ち上…